Usluge > Parodontologija
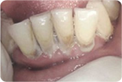
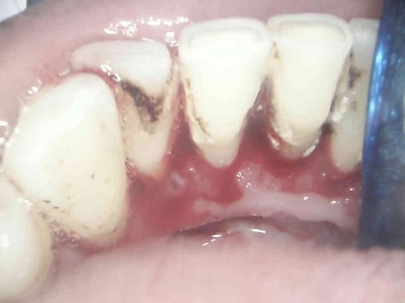
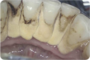
Čišćenje zubnog kamenca
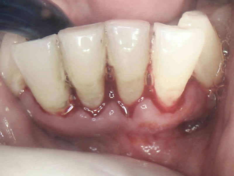
Čišćenje zubnog kamenca radi se uređajem na bazi ultrazvučnih vibracija koje ne oštećuju zube ni sluznicu. Postupak se ponavlja dva do tri puta dok se kamenac potpuno ne ukloni iz vidljivog dijela ( supragingivni ) i onoga ispod nivoa zubnog mesa ( subgingivni ).
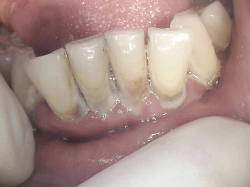
Poliranje zuba
Potpuno bezbolan preventivni postupak, kojim se sa površine zuba, četkicama postavljenim na rotacijski aparat u ordinaciji, uz upotrebu paste za poliranje, uklanjaju obojenja ( pigmenti ) nastala konzumiranjem tamne hrane i pića. Tim se postupkom površina cakline zuba čini glađom i manje pogodnom za nakupljanje obojenja, plaka i kamenca. Zubi su nakon zahvata svjetliji. Postupak je preduvjet za sve ostale estetske zahvate na zubima.

