Usluge >Estetska dentalna medicina
Individualnim pristupom svakom pacijentu nastojimo pronaći najbolje rješenje liječenja i završnih radova u ustima, koje zadovoljava stavove struke ali naravno i stavove i želje naših pacijenata.
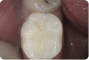
Estetski ispuni
Svima dobro poznati, sivi, amalgamski ispuni, danas se iz zdravstvenih i estetskih razloga zamjenjuju estetskim, kompozitnim ispunima.
Dosta je dilema oko kvalitete i trajnosti amalgamskog ispuna.
Naša su iskustva u praksi da redovno, ispod amalgamskog ispuna, u toku sanacije zuba pronalazimo karijes. Obrazloženje je u činjenici da se amalgam kao materijal za ispun s vremenom skvrčava i time stvara pukotinu između sebe i stjenke zuba. To naravno dovodi do prodora bakterija karijesa u kavitet na zubu a time i kvarenja zuba.
Estetski ( bijeli ) materijali ne mijenjaju volumen tijekom vremena. Dakle, nema pukotine, nema prodora bakterija i nema kvarenja zuba.
-
1 : 0 za kompozitni ispun
Postavljanjem estetskog materijala postižemo kvalitetnu rekonstrukciju zubnog tkiva i potpuno prirodan izgled za razliku od ( sivog, metalnog ) amalgamskog ispuna.
-
2 : 0 za kompozitni ispun
Za izradu estetskog ispuna potrebno je odstraniti samo bolestan dio zuba za razliku od amalgamskog ispuna za koji je bilo potrebno odstraniti i dio zdravog zubnog tkiva zbog držanja amalgama u zubu.
-
3 : 0 za kompozitni ispun – konačni rezultat
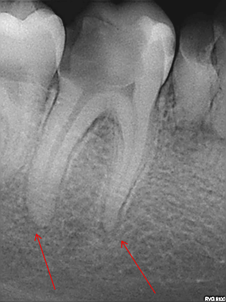
Liječenje korijenskih kanala
Kod opsežnijih karijesa na zubu i dugotrajnijih procesa nerijetko dolazi do upalnih i ostalih promjena u području korijenskog kanala zuba.
Vanjsku površinu zuba čini caklina, najčvršća tvar u organizmu koja ga štiti od štetnih utjecaja okoliša. Ispod cakline nalazi se nešto mekši dentin prožet sitnim kanalićima koji ga čine osjetljivim za razliku od cakline koja je neosjetljiva. U središtu zuba, okružena dentinom nalazi se zubna pulpa, laički često nazivana "živac". Laičko ime posljedica je velikog broja živčanih vlakana u tom tkivu i osjetljivosti zubne pulpe .
Zubni karijes započinje u caklini, širi se dentinom a ako se proces ne zaustavi, a nastala šupljina ne nadomjesti odgovarajućim materijalom, nastaje upalni proces u pulpi. Osim karijesa, zubna pulpa može biti ugrožena traumom koja može biti akutna, kao što je udarac ili kronična, kao što je prerani kontakt jednog zuba u trenutku kada bi se svi trebali jednakomjerno dodirivati.
Zubna pulpa na spomenute podražaje reagira upalom sa svim upalnim mehanizmima. No postoji razlika između pulpe i ostalog vezivnog tkiva u organizmu. Pulpa je okružena tvrdim oklopom dentina i cakline, a u vezi je s okolišem malim otvorom na vrhu korijena kroz kojeg ulaze krvne žile i živci. Povećani pritisak koji se stvara kod upale, dovodi do slabljena cirkulacije pritiskom na krvne žile na ulasku u pulpu. Time su obrambene snage pulpe oslabljene. Stoga kad nastane upala zubne pulpe doktor dentalne medicine treba ukloniti upaljeno tkivo pulpe.
Ukoliko se nije reagiralo u fazi upale, zubna pulpa odumire što se stručno naziva nekroza pulpe.
Zubna pulpa može odumrijeti i bez prethodne upalne faze, kad uslijed snažne traume dolazi do prekida cirkulacije. Nekrotični zub je neosjetljiv na podražaje, ne boli čak ni pri brušenju. No takvo stanje ima za posljedicu prodor mikroorganizama, njihovih toksičnih proizvoda, čak i raspadnutih dijelova pulpe kroz otvor na vrhu korijena u okolno tkivo što senzibilizira organizam. Uslijed toga nastaju upalne promjene u području oko vrha korijena tj. u periapeksu koje mogu biti akutne i kronične.
Akutne upale kosti oko vrha korijena očituju se bolnošću zuba na zagriz, dodir, oteklinom u području vrha korijena unutar usne šupljine, a u težim slučajevima oteklinom čitave polovice lica. U najtežim oblicima povišena je tjelesna temperatura, povećani su limfni čvorovi, a upalni proces se može širiti prema okolnim strukturama glave i vrata.
Kronične upale kosti uglavnom su bezbolne, a često se otkriju kao slučajni nalaz na rtg snimci. Ponekad kronični proces u kosti oko vrha korijena, koji se često naziva granulom, prijeđe u akutni oblik sa svim njegovim simptomima. Ponekad se kod kroničnih oblika pojavi fistula kao put dreniranja gnojnog procesa iz kosti. To pacijenti često opisuju kao vrećicu koja se puni i povremeno prazni.
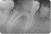
Sam postupak endodontskog liječenja započinje postavljanjem dijagnoze kliničkim pregledom i rtg snimkom. Rtg snimanje je obavezno prije samog liječenja jer se njime vide uzroci bolesti, postojanje eventualnog procesa u kosti te ono što je jako važno za samo liječenje, broj korjenova i kanala, zakrivljenost i druge njihove morfološke varijacije. Time se doktoru dentalne medicine omogućuje orijentacija u prostoru korijenskih kanala. Na osnovu rtg snimke doktor dentalne medicine može ocijeniti postoji li uopće mogućnost liječenja te predvidjeti moguće poteškoće u postupku.
Slijedeći korak je prikazivanje endodontskog prostora tj. "otvaranje zuba" tijekom kojeg doktor dentalne medicine uklanja ostatke upaljenog ili nekrotičnog tkiva i pronalazi korijenske kanale. Ukoliko je pulpa vitalna, tj. živa, područje se prethodno anestezira jer je zahvat u protivnom jako bolan. Potom slijedi instrumentacija korijenskih kanala pri čemu doktor dentalne medicine tankim iglicama ulazi u kanale. Njima se uklanjaju ostatci tkiva i detritusa, čiste i šire korijenski kanali po pravilima struke.
Kanal se širi iz razloga da se olakša uklanjanje nepoželjnog sadržaja te da se isti može hermetički napuniti. Kad je kanal pripremljen, puni se gumastim materijalom ( štapićima ) i cementom.
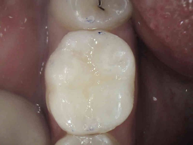
Nakon završenog liječenja, kvaliteta punjenja se provjerava rtg snimkom čime se procjenjuje dužina i kompaktnost punjenja. Tek ako je rentgenogram potvrdio dovoljno kvalitetno punjenje, zub se rekonstruira bilo ispunom ( "plombom" ) ili protetski ( nadogradnja i krunica ).
U slučaju postojanja periapikalnog procesa ( granuloma ) zub se ponovno kontrolira nakon šest mjeseci, nakon godinu, odnosno dvije godine. Uspješnost liječenja se procjenjuje na temelju cijeljenja granuloma koji nestaje na čijem mjestu se stvara nova kost. To dovodi do odgovora na pitanje koje se često postavlja doktoru dentalne medicine:"Je li moguće liječiti granulom liječeći zub?" Odgovor je: "Svakako da, jer su uzrok granulomu iritansi iz korijenskog kanala. Kad se oni uklone, organizam sam zacijeli oboljelo tkivo".


Izbjeljivanje zuba u ordinaciji
Određene grupe hrane, pića, pušenje, lijekovi, čak i određene bolesti dovode do promjene boje zuba. Danas je dostupan način borbe protiv takvih vrsta obojenja zuba.
Zub ima svoju prirodnu boju koja ima čitavi niz vizualnih efekata. Transparencija, translucencija, opalescencija, refleksija, samo su neka od svojstava boje zuba.
Izbjeljivanje zuba metodama koje se primjenjuju u ordinaciji dentalne medicine prvenstveno ima za cilj NE NANIJETI ŠTETU zubima koji se izbjeljuju.
U praksi, doktor dentalne medicine prije zahvata određuje prirodnu boju zuba i procjenjuje koliko se zubi smiju izbijeliti, a da se ne našteti njihovoj strukturi i dovede u pitanje njihova trajnost. Važno je napomenuti da i u ovom slučaju, treba vjerovati doktoru dentalne medicine i unaprijed dogovoriti stupanj izbjeljenija.
Jednako tako treba izbjegavati sredstva za izbjeljivanje zuba za osobnu primjenu, obzirom da su ta sredstva namijenjena naglom bijeljenju zuba iz komercijalnih razloga, a bez procjene opasnosti za zdravlje i trajnost zuba.
Za izbjeljivanje zuba najčešće se koriste oksidirajući spojevi koji oslobađaju kisikove ione u caklinu i dentin. Takav tretman obavezno uključuje zaštitu nekim od preparata fluora.
Postupak u ordinaciji radi se postavljanjem udlage na zube svake čeljusti posebno, koja se puni preparatom za izbjeljivanje zuba. Udlaga se izrađuje individualno, za svakog pacijenta, prema otiscima njegovih čeljusti. Udlaga stoji tako određeno vrijeme, nakon čega se skida, a zubi se tretiraju zaštitnim preparatima fluora.
Nakon postupka izbjeljivanja u određenom broju slučajeva pacijenti osjećaju bol na slatko, hladno i vruće. Pojačana osjetljivost zuba uglavnom je privremena i postepeno nestaje nakon prestanka izbjeljivanja. Nakon izbjeljivanja zubi su pojačano osjetljivi na "obojenu" hranu i pića ( kava, gazirani sokovi, čaj, vino ) kao i duhan cigareta, pa ih treba izbjegavati. Dakle, koliko će Vaši zubi biti " bijeli " nakon tog postupka, ovisi prvenstveno o Vašem stilu života, prehrani i piću.
Izbjeljivanje avitalnog zuba
Prilikom zahvata u korijenskom kanalu zuba vrlo često dolazi do tamnjenja krune zuba. Pacijent to registrira kao obojenje zuba u smeđem ili gotovo ljubičasto sivom tonu. Takva obojenja, na primjer nastaju zbog oslobađanja upalnih produkata kod upale živca ili zbog krvarenja u korijenskom kanalu. Postupak izbjeljivanja tako obojenog zuba razlikuje se od izbjeljivanja svih zuba zajedno i po tehnici i po materijalima.
Radi se zapravo o nekoliko faza rada, kod kojih se u obojeni zub stavljaju ulošci sa preparatima za izbjeljivanje koji djeluju na otklanjanje obojenja strukture zuba. Dakle, ne iz vana, kao kod klasičnog izbjeljivanja udlagom, nego iznutra. Rezultati su uglavnom zadovoljavajući, a zub ostaje u svom prirodnom izdanju. Nije, dakle, potrebno raditi protetski nadomjestak ( krunicu ) koji bi prekrio obojeni zub.


Ugradnja zubnog nakita
Postupak ugradnje zubnog nakita kratkotrajan je i potpuno bezbolan zahvat koji uz to ne nanosi nikakvu štetu Vašem prirodnom zubu. Uvijek ga je lako ukloniti ukoliko poželite.
Zubni nakit postavlja se na prednju, vidljivu plohu prednjih gornjih zuba i efekt " blink - blink " je postignut.
Kamenčići kristalnog stakla dostupni su u dvije boje i veličine:
• 1,8 mm promjera
• 2,5 mm promjera
• prozirni
• safir plavi







