Usluge >Dječja stomatologija
Individualnim pristupom svakom pacijentu nastojimo pronaći najbolje rješenje liječenja i završnih radova u ustima, koje zadovoljava stavove struke ali naravno i stavove i želje naših pacijenata.


Dječja dentalna medicina
Educirani smo, a naša ordinacija prilagođena je za rad sa djecom.
Svoje dijete dovedite s povjerenjem i zajedno s nama kreirajte pozitivan stav prema dentalnoj medicini i liječenju zuba od malih nogu. U ranoj dobi najvažnija je edukacija i preventiva. Postupci i navike koji sprečavaju kvarenje zuba uče se u ranoj dobi.
Zahvati na mliječnim zubima svode se na uglavnom preventivne postupke, ali ako se pokaže potreba za liječenjem mliječnih ili trajnih zuba kod Vašeg djeteta, i taj ćemo problem riješiti bez stresa.



Fluoridacija zuba
Educirani smo, a naša ordinacija prilagođena je za rad sa djecom. Svoje dijete dovedite s povjerenjem i zajedno s nama kreirajte pozitivan stav prema dentalnoj medicini i liječenju zuba od malih nogu. U ranoj dobi najvažnija je edukacija i preventiva. Postupci i navike koji sprečavaju kvarenje zuba uče se u ranoj dobi.
Zahvati na mliječnim zubima svode se na uglavnom preventivne postupke, ali ako se pokaže potreba za liječenjem mliječnih ili trajnih zuba kod Vašeg djeteta, i taj ćemo problem riješiti bez stresa.
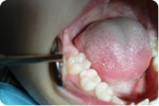
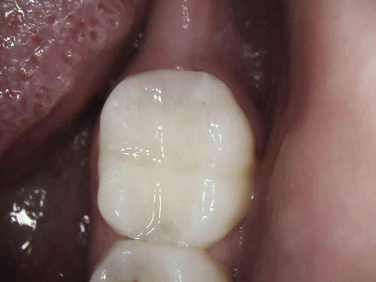
Pečaćenje fisura
Preventivni postupak kojim se u ordinaciji posebnom vrstom " smole " zatvaraju ili pečate udubine ( fisure ) koje normalno postoje na zdravim stražnji zubima. Obzirom da se hrana, a time i bakterije karijesa lakše zadržavaju u udubinama na zubima, zatvaranjem tih prirodnih udubina otežano je nakupljanje bakterija i razvoj karijesa. Postupak je primarno namijenjen djeci predškolske dobi, ali i svima ostalima.
Pečaćenje fisura sastoji se od nekoliko kraćih radnih faza i preporuča se kao prvi postupak u ustima djeteta zbog kratkog trajanja postupka, potpuno je bezbolan, a pomaže navikavanju djeteta na rad u ustima.
Ispuni mliječnih zuba u boji
Raznolikost kvalitetnih materijala pruža nam mogućnost da našim malim pacijentima omogućimo nezaboravan posjet stomatološkoj ordinaciji. Ispuni u omiljenoj boji, sa šljokicama ili bez… Neka najmanjim pacijentima ostane uspomena na posjet ordinaciji na koju će biti ponosni.




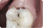
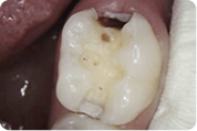
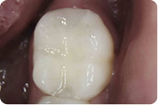
Liječenje trajnih zuba kod djece
U praksi se često susrećemo sa problemom " zaboravljenih " prvih trajnih kutnjaka , takozvanih " šestica ".
Obzirom da ti zubi izrastaju iza drugih mliječnih kutnjaka ( petica ) u dobi kada je kod djeteta formiran zubni luk, roditelji i djeca često previde da ( obzirom da mliječni ne ispada ) raste trajni zub.
Jednako tako, često se dozvoli da se zub pokvari pod obrazloženjem da nije ni važno jer je to ionako mliječni zub. Iz tog razloga u ordinaciju često dolaze djeca sa šesticama u dosta lošem stanju. Zahvat na takvim zubima je ozbiljan, obzirom na to da je to trajni zub, pa se za popravak i koriste materijali kao i kod odraslih pacijenata. Preporučamo estetske materijale u boji zuba.
Podsjećamo još jednom na važnost redovnih kontrola u ordinaciji dentalne medicine.





