Savjeti > Karijes zuba
Zašto se zubi kvare?
Zubni karijes je jedna od najraširenijih bolesti, a posebno među djecom. Kvarenju zubi najviše pogoduju namirnice i pića koje sadrže ugljikohidrate, znači šećere i škrob. Bakterije koje žive u usnoj šupljini za svoju prehranu koriste ugljikohidrate, pri čijoj se razgradnji stvara kiselina koja nagriza zubnu caklinu.
Oštećenje zubne cakline omogućuje gubitak minerala kalcija i fosfora, dvaju najvažnijih minerala od kojih su zubi građeni. Tako počinje proces kvarenja zubi. Izloženost kvarenju zubi je veća što se češće konzumiraju slatkiši, zaslađeni napici i namirnice koje se lako lijepe za zube. Naravno da kvarenju zuba pogoduje neredovita ili nedovoljna higijena usta i zubi.
Nesporno je dakle, da tamo gdje je redovita i dostatna higijena i tamo gdje nema hrane bogate šećerima, nema ni kvarenja zuba.
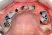
Karijes najčešće zahvaća zube na kojima se hrana lakše skuplja. Oblikom su najizloženiji kutnjaci i pretkutnjaci. Posebno su osjetljivi prostori između dva zuba koji su nedostupni za čišćenje četkicom za zube.
U početnoj fazi karijes je bijela mrlja koja zahvaća samo površinski sloj cakline i kao takav je praktički neosjetljiv. U uznapredovanoj fazi karijes prodire kroz caklinu i ulazi u dentin. Tada zub postaje osjetljiv na podražaje.
Vrlo često tada zub kavitira, uruši se i pacijent prepoznaje karijes kao rupu u zubu. Ako se karijes ni tada ne sanira, napreduje dublje i zahvaća zubnu pulpu. Tada dolazi do upale pulpe ili čak u jačim slučajevima do nekroze ili gangrene pulpe. Daljnjim napredovanjem dolazi do oteklina, jer se upalni proces širi u čeljusnu kost.




