Savjeti > Hrkanje
Da li hrčete? - Mi Vam možemo pomoći!
Hrkanje
Studije su pokazale da u industrijski razvijenim zemljama 40 % populacije hrče! Postotak raste i do 60 % kod ljudi iznad 60 godina starosti.
Hrkanje je izazvano vibriranjem mekog tkiva.
Tijekom sna, napetost mišića u vratu i jednjaku raste. To uzrokuje suženje prostora jednjaka - potrebna količina zraka udiše se brže uz glasne vibracije mekog tkiva, poput mekog nepca ( velum palatinum ) i usne resice ( uvulum ) što nazivamo hrkanjem!




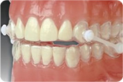
SILENSOR - Udlaga protiv hrkanja
Za razliku od dosadašnjih terapija hrkanja koje su dosta invazivne, nepraktične te relativno skupe, silensor udlaga protiv hrkanja je oralna naprava koja je dosta prihvatljiva za pacijenta jer je mala i udobna za nošenje, a ujedno je i najmanje invazivna metoda terapije.
SILENSOR-Kako Vam može pomoći?! Silensor se sastoji od 2 prozirne udlage, po jedna za svaku čeljust.
Donju čeljust drže spojnice u prethodno određenom položaju koje su učvršćene bočno za udlagu- posljedica je otvaranje prostora jednjaka. Brzina udahnutog zraka se smanjuje kao i buka izazvana vibracijama mekog tkiva.
Sa udlagom protiv hrkanja lagane kretnje čeljusti su moguće što udlagu čini ugodnim i učinkovitim štitnikom protiv hrkanja. Klinička ispitivanja pokazala su da anteriorizacija ( lagani pomak u naprijed ) donje čeljusti reducira hrkanje do 90 %. Sa SILENSOROM otpor disanju je doslovno eliminiran. Anteriorizacija donje čeljusti održava dišne puteve otvorenima.
Hrkanje – zdravstveni problem? Hrkanje je ozbiljan problem s kojim se susreće, priznao to ili ne velik broj populacije kako muškaraca tako i žena. Hrkanje, osim što je neugodno za okolinu, a često puta uzrok je i bračnih razmirica, te spavanja partnera u odvojenim sobama, nije bezazleno ni za osobu koja hrče, budući može biti znak opstrukcijske apneje odnosno respiratornog zastoja koji traje više od 10 sekundi ili hipopneje što podrazumijeva smanjenje koncentracije kisika u krvi zbog smanjenog dotoka zraka.
Naime, apneje osim što uzrokuju pospanost tijekom dana, smanjenje koncentracije i glavobolje, mogu uzrokovati i ozbiljne vaskularne bolesti jer nakratko prekidaju opskrbu mozga kisikom. Također povećavaju opasnost od povišenog krvnog tlaka, srčanog infarkta i moždanog udara. Dosada se problem hrkanja rješavao uglavnom operativnim putem koji podrazumijeva odstranjenje resice i dijela mekog nepca, zatim raznim maskama s kisikom, držačima jezika i drugim oralnim napravama.
Za razliku od dosadašnjih terapija hrkanja koje su dosta invazivne, nepraktične te relativno skupe, silensor udlaga protiv hrkanja je oralna naprava koja je dosta prihvatljiva za pacijenta jer je mala i udobna za nošenje, a ujedno je i najmanje invazivna metoda terapije.
Tijek izrade ovakve jedne udlage sastoji se u uzimanje točne anamneze, preciznog otiska i međučeljusnih odnosa.
Temeljem otiska dobiva se radni model po kojem se onda izrađuje udlaga. Udlage su na bočnoj strani povezane sa spojnicama koje čeljusti drže u prethodno određenom položaju. Princip rada udlage je taj da se laganim pomicanjem donje čeljusti prema naprijed sprečava upadanje čeljusti i jezika i na taj način zatvaranje dišnog puta.
Relativna kontraindikacija jesu problemi u čeljusnom zglobu u smislu bolova i škljocanja u zglobu, međutim i takvi pacijenti nakon anamneze i tzv. funkcijske analize kojom se otkriva uzrok tih problema te adekvatne terapije drugim odgovarajućim udlagama, također mogu dobiti silensor udlagu. Jedina prava kontraindikacija jesu potpuno bezubi pacijenti koji ovakvu udlagu nažalost ne mogu dobiti.
Prikladnost udlage: Nošenje udlage može imati vrlo uspješne rezultate ako je uzrok hrkanja suženje dišnih puteva.
Istovremeno, ako je disanje kroz nos blokirano ili otežano ( npr. polypima ), upotreba Silensora je isključena. Zbog svog krutog dizajna, ne dozvoljava disanje na usta.
Gojaznost ili/i alkoholizam štete učinkovitosti udlage. Uspjeh tretmana udlagom protiv hrkanja u tim slučajevima je upitan!
Udlaga se ne može upotrijebiti kod bezubih pacijenata, ali ju je moguće pričvrstiti na djelomičnu protezu koja ima odgovarajuću retenciju.
Stomatolog je taj koji mora procijeniti da li preostali zubi omogućavaju potrebnu retenciju.
Ako pak sumnja na opstrukcijsku apneju prikladnost udlage mora se ustanoviti u laboratoriju gdje se analizira kvaliteta sna, uzimajuči u obzir ozbiljnost bolesti.
Upozorenja pri nošenju udlage: Isprva pacijent može osjećati napetost i osjećaj pomaka donje čeljusti neznatno van zagriza, dok limfna tekućina utječe u temporo- mandibularni zglob. Ista ta tekućina vrlo će se brzo apsorbirati i na kraju će osjećaj nelagode naglo nestati.
U slučaju loše postojanosti u ustima, jakog podražaja na povraćanje, prejakog slinjenja ili ako su razmaci između zuba široki, potrebno je udlagu načiniti iz tvrde folije. U ostalim slučajevima preporuča se polu-mekana SILENSOR SOFT udlaga.